Cas cliniques

13. 8 FACETTES CÉRAMIQUES - DR OHANA - DENTISTE À COURBEVOIE 92400

13. 8 FACETTES CÉRAMIQUES - DR OHANA - DENTISTE À COURBEVOIE 92400

12. EXTRACTIONS DES DENTS ET MISE EN PLACE DE 8 IMPLANTS EN HAUT ET EN BAS EN CÉRAMIQUE - DENTISTE COURBEVOIE 92400

12. EXTRACTIONS DES DENTS ET MISE EN PLACE DE 8 IMPLANTS EN HAUT ET EN BAS EN CÉRAMIQUE - DENTISTE COURBEVOIE 92400

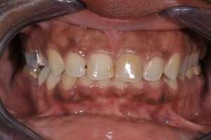
11. RÉALISATION DE 8 FACETTES CÉRAMIQUES SUR LES DENTS DU HAUT - DENTISTE 92400

11. RÉALISATION DE 8 FACETTES CÉRAMIQUES SUR LES DENTS DU HAUT - DENTISTE 92400

10. ALIGNEMENT DES DENTS À L'AIDE D'ALIGNEURS INVISIBLES (GOUTTIERES) - DENTISTE 92400

10. ALIGNEMENT DES DENTS À L'AIDE D'ALIGNEURS INVISIBLES (GOUTTIERES) - DENTISTE 92400

Affichage des articles 1-4 sur 13