Cas cliniques - Page 3

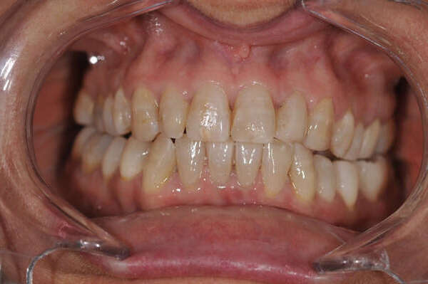
5. ORTHODONTIE : ALIGNEURS INVISIBLES - DR OHANA - DENTISTE À COURBEVOIE 92400

5. ORTHODONTIE : ALIGNEURS INVISIBLES - DR OHANA - DENTISTE À COURBEVOIE 92400

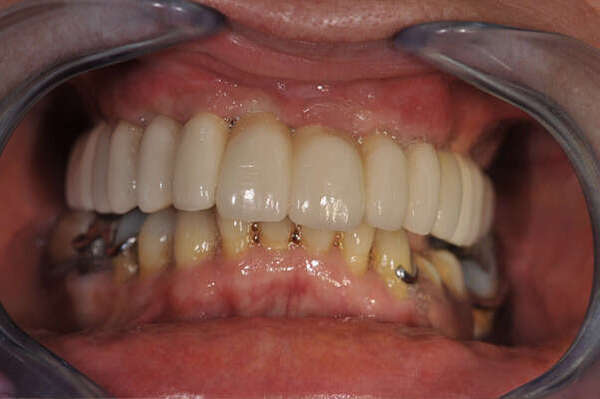
4. IMPLANT : POSE D'UN BRIDGE - DR OHANA - DENTISTE À COURBEVOIE 92400

4. IMPLANT : POSE D'UN BRIDGE - DR OHANA - DENTISTE À COURBEVOIE 92400

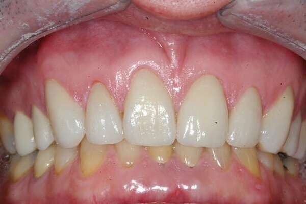
3. FACETTES - DR OHANA - DENTISTE À COURBEVOIE 92400

3. FACETTES - DR OHANA - DENTISTE À COURBEVOIE 92400

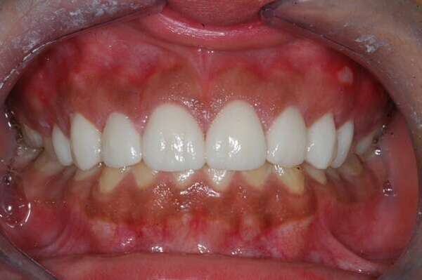
2. FACETTES AVEC AMÉNAGEMENT DES GENCIVES - DR OHANA - DENTISTE À COURBEVOIE 92400

2. FACETTES AVEC AMÉNAGEMENT DES GENCIVES - DR OHANA - DENTISTE À COURBEVOIE 92400

Affichage des articles 9-12 sur 13