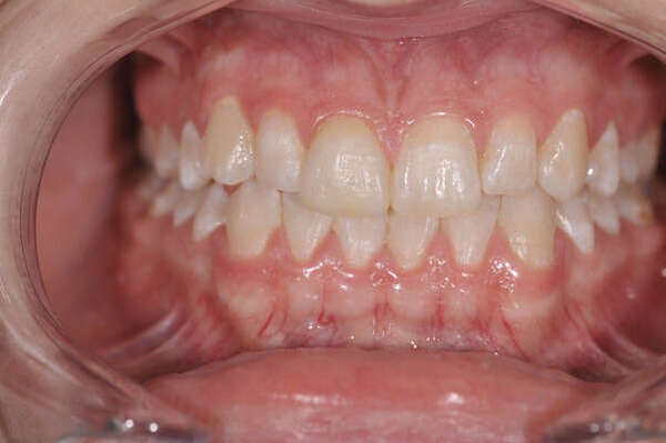
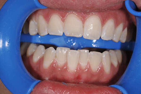
Cas cliniques - Page 2
Affichage des articles 5-8 sur 13
Les Lundi, Mardi et Jeudi de 9h à 19h30
Le Mercredi de 9h à 18h30
Le Vendredi de 9h à 19h
5 Place Charras
92400
COURBEVOIE
Vidéo en cours de lecture




